Розсилка
Будьте в курсі останніх оновлень – підпишіться на розсилку матеріалів на Ваш e-mail
Підписатися-
Минуле та сьогодення Української протиепілептичної ліги: тридцять років складного та успішного шляху
-
Можливості фармакотерапії за уражень мозку, що супроводжуються порушенням свідомості
-
Гострий розсіяний енцефаломієліт
-
Застосування високих доз оланзапіну в лікуванні пацієнтів із резистентними формами шизофренії
-
Лікування пацієнтів із нейропатичним болем на первинній ланці допомоги
Гострий розсіяний енцефаломієліт
Зміст статті:
- Ознаки гострого розсіяного енцефаломієліту за магнітно-резонансної томографії
- Лабораторна діагностика гострого розсіяного енцефаломієліту
- Клінічний випадок
- Висновки
Гострий розсіяний енцефаломієліт (ГРЕМ; в англомовній літературі acute disseminated encephalomyelitis — ADEM) — це захворювання центральної нервової системи, для якого характерний гострий монофазний запальний процес у поєднанні з демієлінізацією білої речовини. Крім цього, ця патологія частіше виникає після перенесеної інфекції (зазвичай за 1-2 тижні) або вакцинації [1]. Сіра речовина та спинний мозок теж уражаються за ГРЕМ, проте рідше.
До типових клінічних ознак ГРЕМ належать: превалювання загальномозкових симптомів над вогнищевими, судомний синдром, лихоманка, різноманітні вогнищеві симптоми. Як правило, частіше хворіють діти, підлітки та особи молодого віку. У разі ГРЕМ внаслідок аутоімунної реакції відбувається перехресна реакція антитіл до антигенів із мієліном. Застосування системних глюкокортикоїдів допомагає значно поліпшити прогноз.
Ознаки гострого розсіяного енцефаломієліту за магнітно-резонансної томографії
вгоруОсновним візуалізаційним методом діагностики ГРЕМ є магнітно-резонансна томографія (МРТ). Насамперед рекомендовано виконувати МРТ головного мозку в стандартних імпульсних послідовностях із використанням внутрішньовенного контрастування. Зокрема, необхідно додати до протоколу обстеження щонайменше одну з градієнтних імпульсних послідовностей (Т2 GRE, SWI) для виключення геморагічного компонента у вогнищах ураження. Для виявлення уражень спинного мозку, за клінічної потреби, необхідно додатково здійснити МРТ спинного мозку з внутрішньовенним контрастуванням згідно зі стандартним протоколом.
Типовими ознаки ураження головного мозку у вигляді характерних вогнищ на МРТ-зображеннях для ГРЕМ є:
- Запальні вогнища мають округлу чи овоїдну форму, переважно розташовані на рівні обох семіовальних центрів, але з певною асиметричністю.
- Частіше такі вогнища фіксують на рівні перивентрикулярної білої речовини.
- Серед типових ознак — наявність вогнищ на рівні базальних ядер і таламусів, що допомагає диференціювати ГРЕМ від розсіяного склерозу (РС), для якого така локалізація вогнищ не є характерною [2].
- Вогнища мають високий сигнал на Т2 і Т2/Flair, ізоінтенсивні чи гіпоінтенсивні на Т1.
- Однією з найважливіших діагностичних ознак ГРЕМ є накопичення контрастної речовини переважною більшістю вогнищ, що допомагає диференціювати його від РС, за якого лише частина вогнищ накопичує контраст або взагалі немає контрастування.
- Тип контрастування — частіше дифузно-вузловий, також може бути контрастування за типом «кільця» чи «незамкнутого кільця».
- У разі використання послідовностей градієнтного еха (Т2*/T2 GRE, SWI/SWAN) за ГРЕМ немає ділянок геморагічного компонента, що допомагає диференціювати згадані вогнища від таких за гострого геморагічного лейкоенцефаліту (хвороба Херста) [3]. Це захворювання вважається однією з форм ГРЕМ із тяжким перебігом та часто несприятливим прогнозом.
- На відміну від РС, у разі ГРЕМ ураження мозолистого тіла, стовбура головного мозку, мозочка та зорових нервів виникає рідше, хоча є типовим.
- Великі вогнища за ГРЕМ можуть створювати незначний чи помірний перифокальний набряк.
- Близько в третини випадків наявне ураження спинного мозку, вогнища можуть бути доволі протяжними (понад 1-2 сегменти). Контрастування їх варіабельне.
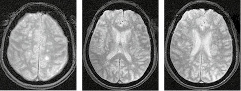
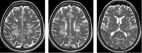
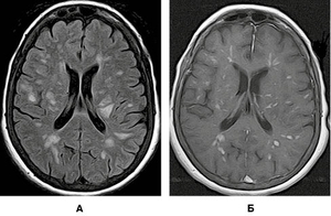
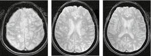
На рисунку 1 представлено МРТ-зображення головного мозку пацієнта з ГРЕМ у режимах Т2, Т2/Flair та Т1 із внутрішньовенним контрастуванням. Зокрема, візуалізуються двобічні вогнища округлої та овоїдної форми, гіперінтенсивні в режимах Т2 та Т2/Flair, які в більшості випадків накопичують контраст.
/images/nn257-1622023r1_.jpg)
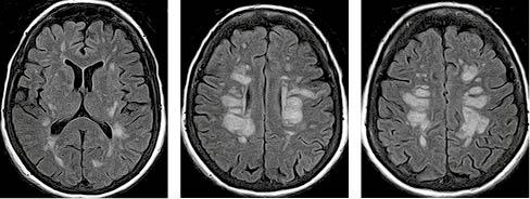
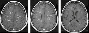
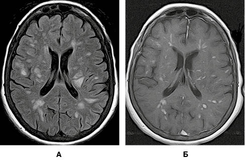
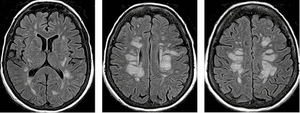
За МРТ-зображення головного мозку пацієнта з ГРЕМ у режимі Т2/Flair та Т1 із внутрішньовенним контрастуванням візуалізуються двобічні вогнища, гіперінтенсивні за Т2/Flair, які в переважно накопичують контраст і розташовані на рівні базальних ядер і таламусів, що є типовою клінічною ознакою ГРЕМ (рис. 2).
/images/nn257-1622023r2_.jpg)
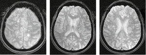
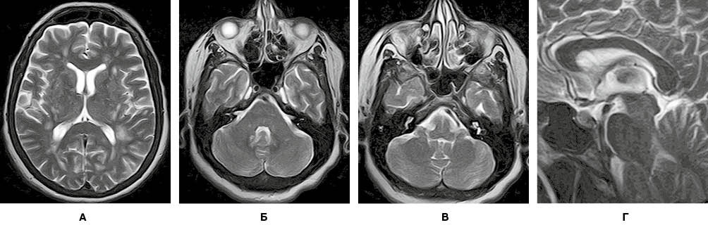
У режимі Т2*/T2 GRE на МРТ-зображенні головного мозку пацієнта з ГРЕМ візуалізуються двобічні гіперінтенсивні вогнища без геморагічного компоненту, що є типовою ознакою ГРЕМ, на відміну від гострого геморагічного лейкоенцефаліту (хвороби Херста) (рис. 3).
/images/nn257-1622023r3_.jpg)
На рисунку 4 наведено МРТ-зображення головного мозку пацієнта з гострим геморагічним лейкоенцефалітом (хворобою Херста) у режимі Т2*/T2 GRE, де візуалізуються двобічні гіперінтенсивні вогнища, два з яких містять геморагічний компонент, та в режимі Т2. А на рисунку 5 — МРТ-зображення головного мозку пацієнта з ГРЕМ у режимі Т2 — продемонстровано важливу ознаку ГРЕМ (на відміну від РС): відносну інтактність мозолистого тіла, стовбура мозку, середніх мозочкових ніжок та мозочка, які в разі РС, як правило, уражаються першочергово. Вказана ознака не завжди є показовою, але має високу інформативність для диференційної діагностики.
/images/nn257-1622023r4_.jpg)
/images/nn257-1622023r5_.jpg)
Лабораторна діагностика гострого розсіяного енцефаломієліту
вгоруЗа використання даних лабораторних досліджень крові та ліквору ГРЕМ зазвичай є діагнозом виключення. До основних методів діагностування вказаного захворювання належать МРТ із внутрішньовенним контрастуванням та об’єктивне дослідження, що передбачає детальний аналіз отриманих анамнестичних даних.
Втім, є низка захворювань, які можуть мати схожий клінічний перебіг, але для їх діагностування лабораторні дані мають вирішальне значення. Першочергово також необхідно виключити під час діагностики інфекційні ураження нервової системи завдяки аналізу ліквору методом полімеразної ланцюгової реакції (ПЛР) на наявність таких збудників, як токсоплазма (Toxoplasma gondii), цитомегаловірус (CMV), вірус Епштейна–Барр (EBV), віруси герпесу 1, 2 і 3-го типів (HSV-1/2, VZV), борелія (Borrelia burgdorferi), мікобактерія туберкульозу (Mycobacterium tuberculosis).
Таке дослідження є необхідним, оскільки деякі із цих інфекцій можуть мати вигляд вогнищевого ураження головного мозку, за якого МРТ-зображення подібне до такого за ГРЕМ. До того ж деякі із цих патологій мають подібну клінічну картину, що може імітувати симптоми ГРЕМ. Зазвичай більшість із цих захворювань потребують етіотропне лікування, яке за може врятувати життя пацієнту. Важливим також є виконання аналізу крові пацієнта на вірус імунодефіциту людини (ВІЛ), а за потреби — визначення імунного статусу.
Наступним визначальним кроком є звуження діагностичного пошуку, який базується на даних диференційної діагностики ГРЕМ та інших демієлінізувальних захворювань. Передусім необхідно виключити захворювання, пов’язане з антитілами до мієлінового олігодендроцитарного глікопротеїну (MOGAD), для чого визначають антитіла MOG-IgG. Відомо, що для MOGAD характерні дуже схожі МРТ-ознаки ураження головного мозку та клінічна картина [2].
Деякі автори вважають MOGAD окремою формою ГРЕМ. Слід також пам’ятати, що за відповідної клінічної картини та характерних вогнищ на МРТ-зображеннях діагноз ГРЕМ можна встановити без наявних у сироватці крові антитіл MOG-IgG. Хоча в окремих випадках ГРЕМ необхідно диференціювати з порушенням зі спектра оптичного нейромієліту (NMOSD, хвороба Девіка).
Цьому захворювання може бути притаманне швидке прогресування вогнищевих розладів внаслідок ураження головного мозку, а також спинного мозку та зорових нервів. Для NMOSD характерним маркером є наявність у сироватці крові антитіл до аквапорину-4 (AQP4-IgG), що є досить специфічною ознакою [4].
Диференційна діагностика гострого розсіяного енцефаломієліту та РС, як правило, не викликає труднощів, оскільки згадані хвороби різняться за клінічним перебігом і даними МРТ-візуалізації. Але у складних випадках найточнішим із лабораторних методів діагностики є визначення олігоклональних смуг у лікворі як типової ознаки РС. Такі смуги характерні для його рідкісних форм, як-от хвороба Марбурга, концентричний склероз Балло, псевдотуморозна форма РС. За результатами загального аналізу ліквору, як правило, наявне незначне або помірне підвищення вмісту білка, можливий невиразний цитоз лімфоцитарного характеру (до 10-50 клітин/мкл), але такі зміни не є специфічними.
Клінічний випадок
вгоруАнамнез захворювання та скарги
Пацієнт віком 35 років був госпіталізований бригадою швидкої допомоги до реанімаційного відділення лікарні через серії генералізованих тоніко-клонічних нападів і порушення свідомості. Захворювання дебютувало гостро (за два дні до госпіталізації). Серед перших симптомів — помірно інтенсивний дифузний головний біль, немотивоване відчуття тривоги та страху, порушення сну (у вигляді утрудненого засинання), а також підвищена дратівливість.
Наступного дня головний біль став інтенсивнішим, а також підвищилася температура тіла (до 38,70С) і спостерігалося виразне підвищення чутливості до світла та звукових подразників, які призвели до його посилення.
Використання знеболювальних препаратів, як-от парацетамол та ібупрофен, сприяло помірному зменшенню головного болю та гіпертермії. На третій день із моменту початку хвороби на тлі підвищеної температури та головного болю виникли генералізовані тоніко-клонічні судоми та пригнічення свідомості. З анамнезу відомо, що за три тижні до початку захворювання пацієнт перехворів на грип типу А.
Об’єктивне обстеження та неврологічний статус
Під час огляду пацієнта було виявлено порушення свідомості. Зокрема, показник за шкалою ком Глазго сягав 12 балів, чоловік не міг визначити дату та час, своє місцезнаходження, напрямок руху, а також просторові відношення між предметами та собою, утруднено орієнтувався щодо власної особистості. На поставлені запитання правильно не відповідав, мовлення було сплутане. Температура тіла підвищена до 39,80С, артеріальний тиск — 135/90 мм рт. ст., частота дихання — 22 вдихи за хвилину. Шкірні покриви та слизові оболонки звичайного кольору, склери помірно гіперемовані. За аускультації тони серця ясні, ритмічні, частота серцевих скорочень 105 уд./хв. Дихання везикулярне, додаткових дихальних шумів не спостерігається.
У пацієнта спотерігалась загальна гіперестезія на світлові, звукові та тактильні подразники. Тонус м’язів пароксизмально підвищується в кінцівках з обох боків внаслідок дії зовнішніх подразників. Очні щілини симетричні (D = S); зіниці округлі, симетричні (D = S); пряма та співдружня реакція зіниць на світло збережена, симетрична. Спонтанний ністагм не спостерігається.
Окулоцефалічний рефлекс збережений в усіх площинах у межах норми. Активні рухи очних яблук перевірити неможливо через порушення свідомості. Мімічні м’язи відносно симетричні. Корнеальний рефлекс збережений. Ковтання не порушене. Тонус м’язів у кінцівках у межах норми, але наявне його пароксизмальне підвищення у відповідь на больові подразники.
Сухожильні та періостальні рефлекси були підвищені з обох боків, відносно симетричні (D = S); наявні патологічні кистьові рефлекси Россолімо–Вендеровича та Хоффмана з обох боків, позитивний рефлекс Бабінскі на обох стопах. Черевні рефлекси, які мають важливе діагностичне значення, оскільки їх відсутність або зміна можуть вказувати на певні неврологічні захворювання, не простежуються з обох боків. Наявні слабкопозитивні менінгеальні симптоми: ригідність м’язів шиї (+), симптом Керніга, верхній і нижній симптоми Брудзинського.
Лабораторні дослідження
Пацієнту було виконано люмбальну пункцію. Ліквор витікає зі швидкістю 80 крапель/хв, безбарвний, прозорий, вміст білка — 0,7 г/л, цитоз — 18 клітин/мкл (лімфоцити), вміст глюкози — 3,6 ммоль/л, вміст хлоридів — 124 ммоль/л. Також було проведено ПЛР-дослідження ліквору на наявність таких збудників: Toxoplasma gondii, HSV-1/2, VZV, герпесвірус 6-го типу (HHV-6), CMV, EBV, Mycobacterium tuberculosis, Borrelia burgdorferi. Крім того, пацієнту провели експрес-тест на ВІЛ, який виявився негативним.
Загальні аналізи крові й сечі та біохімічне дослідження крові патологічних змін не підтвердили. Також пацієнту було виконано високоспецифічні дослідження, а саме аналіз крові на AQP4-IgG (антитіла до аквапорину-4), імуноглобуліни G до глікопротеїну мієліну олігодендроцитів (MOG-IgG), аналіз ліквору на олігоклональні смуги. Згадані тести виявилися негативними.
МРТ-дослідження головного мозку
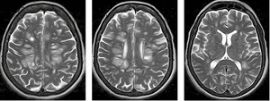
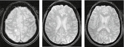
Завдяки виконаному МРТ-дослідженню головного мозку візуалізувано множинні вогнища, переважно овоїдної та округлої форм, розташовані в глибокій білій речовині обох семіовальних центрів. Вогнища гіперінтенсивні в режимах Т2/Flair і Т2, поліморфні. Типовою клінічною ознакою, характерною для перебігу ГРЕМ, на відміну від РС, є те, що більшість запальних вогнищ накопичують контраст. На зображеннях у режимі Т2 GRE не виявлено даних, які б могли свідчити про крововиливи в структурі вогнищ. МРТ-зображення головного мозку пацієнта в різних режимах, представлені на рисунках 6-9, підтверджують діагноз ГРЕМ.
Лікування
Як відомо, для ГРЕМ не існує стандартного лікування. Після проведення пульс-терапії метилпреднізолоном у дозуванні 1000 мг/добу протягом семи днів стан пацієнта значно поліпшився. У пацієнта відновилася свідомість, значно редукувалися загальномозкові та вогнищеві неврологічні симптоми. Для подальшого лікування та спостереження пацієнта було переведено до неврологічного відділення.
Висновки
вгоруДля ГРЕМ характерний гострий, однофазний перебіг захворювання, із подальшим регресом симптомів. Медичний прогноз у разі захворювання на ГРЕМ є доволі сприятливим для життя, хоча ймовірні залишкові вогнищеві неврологічні розлади. Проте в разі розвитку тяжких випадків цього захворювання можливий летальний кінець.
Важливими аспектами, на які варто звернути особливу увагу під час діагностики ГРЕМ, є:
- Раніше перенесене вірусне чи бактеріальне захворювання (наприклад, за кілька тижнів до початку розвитку ГРЕМ; рідше вакцинація).
- Гострий початок захворювання, зокрема з переважним превалюванням загальномозкових симптомів (головний біль, порушення свідомості, генералізовані судомні напади, менінгеальні симптоми); часто наявні вогнищеві симптоми без чіткої фокальності.
- Дані МРТ-досліджень головного мозку важливі для виявлення поліморфних вогнищ у глибокій білій речовині обох семіовальних центрів, причому їхня локалізація в базальних ядрах і таламусах є досить типовою ознакою для ГРЕМ, що не характерне для клінічної картини перебігу РС. Важливо також зазначити, що в разі розвитку ГРЕМ більшість таких вогнищ накопичують контраст, що не притаманне захворюванню на РС.
- У разі дослідження ліквору в пацієнтів із ГРЕМ часто фіксують незначне чи помірне підвищення вмісту білка, а також невисокий лімфоцитарний плеоцитоз.
- Встановлення ГРЕМ інколи потребує диференційної діагностики з нейроінфекціями (особливо церебральним токсоплазмозом і гострим геморагічним лейкоенцефалітом — хворобою Херста) та демієлінізувальними захворюваннями (РС; порушеннями зі спектра оптичного нейромієліту; захворюванням, пов’язаним з антитілами до мієлінового олігодендроцитарного глікопротеїну).
Отже, діагноз ГРЕМ можливо підтвердити за умови встановлення відповідних анамнестичних даних (як-от перенесена інфекція чи вакцинація), характерної клінічної картини, типових змін на МРТ-зображеннях, без лабораторного встановлення інших патологій, які своєю чергою також можуть імітувати запальне демієлінізувальне захворювання нервової системи.
Література
1. Hynson J. L., Kornberg A. J., Coleman L. T. et al. Clinical and neuroradiologic features of acute disseminated encephalomyelitis in children. Neurology. 2001. Vol. 56, № 10. Р. 1308-12.
2. Reindl M., Rostasy K. MOG Antibody-Associated Diseases. Neurol Neuroimmunol Neuroinflamm. 2015. Vol. 2, № 1: e60. DOI: 10.1212/NXI.0000000000000060.
3. Sarbu N., Shih R. Y., Jones R. V. et al. White Matter Diseases with Radiologic-Pathologic Correlation. Radiographics. 2016. Vol. 36, № 5. Р. 1426-47.
4. Wingerchuk D. M., Lennon V. A., Lucchinetti C. F. et al. The spectrum of neuromyelitis optica. The Lancet (Neurology). 2007. Vol. 6, № 9. Р. 805-15.
5. Brilot F., Dale R., Selter R. et al. Antibodies to Native Myelin Oligodendrocyte Glycoprotein in Children with Inflammatory Demyelinating Central Nervous System Disease. Ann Neurol. 2009. Vol. 66 № 6. Р. 833-42.
Наш журнал
у соцмережах:
Думки експертів
Випуски за 2025 Рік
Зміст випуску 10 (165), 2025
Зміст випуску 9 (164), 2025
Зміст випуску 8 (163), 2025
-
Всесвітній день психічного здоров’я: належна підтримка пацієнтів як суспільний пріоритет
-
Посттравматичний стресовий розлад, спричинений війною: аналіз на основі літературних образів
-
Нейрогенний синдром грудного виходу: пошук оптимального підходу до лікування
-
Минуле та сьогодення Української протиепілептичної ліги: тридцять років складного та успішного шляху
-
Падіння в похилому віці: оцінювання ризику, аспекти профілактики й менеджменту
-
Тернистий шлях застосування бензодіазепінів: від величі до забуття та можливого відродження
-
Досягнення та підтримання стану ремісії в пацієнтів із великим депресивним розладом
Зміст випуску 7 (162), 2025
-
Минуле та сьогодення Української протиепілептичної ліги: тридцять років складного та успішного шляху
-
Можливості фармакотерапії за уражень мозку, що супроводжуються порушенням свідомості
-
Застосування високих доз оланзапіну в лікуванні пацієнтів із резистентними формами шизофренії
-
Лікування пацієнтів із нейропатичним болем на первинній ланці допомоги
Зміст випуску 6 (161), 2025
-
Вплив соціальних мереж на психічне здоров’я дітей і підлітків
-
П’ять порад батькам, як знизити вплив соціальних мереж на дитину / підлітка
-
Минуле та сьогодення Української протиепілептичної ліги: тридцять років складного та успішного шляху
-
Діагностична цінність клінічного оцінювання когнітивних функцій
-
Вплив війни на психічне здоров’я молоді: роль резилієнсу та психологічних інтервенцій
-
Фармакотерапія пацієнтів із деменцією: первинна ланка медичної допомоги
-
Методичні рекомендації щодо профілактики професійного вигоряння медичних працівників
Зміст випуску 5 (160), 2025
-
Поліпшення психологічного стану населення в умовах довготривалої війни
-
Ефективність поетапної програми психологічних втручань для мігрантів
-
Альтернативний підхід до терапії тривожних розладів: важливість правильного титрування дози
-
Аналіз ефективності фармакотерапії депресії у жінок дітородного віку
-
Модель поетапного лікування пацієнтів із ноцицептивним болем
Зміст випуску 4 (159), 2025
-
Психіатрія способу життя: нові горизонти для психічного здоров’я
-
Поліпшення функціонування як ключова мета лікування пацієнтів із великим депресивним розладом
-
Розлади харчової поведінки: серйозність проблеми та сучасні підходи до її вирішення
-
Антидепресант із мультимодальною дією: можливості застосування міансерину в клінічній практиці
-
Сучасні підходи до діагностування та лікування пацієнтів із кататонією
-
Фармакологічне лікування пацієнтів із шизофренією та пов’язаними з нею психозами
Зміст випуску 3 (158), 2025
-
Всесвітній день поширення інформації про аутизм: спростовуємо поширені міфи
-
Резистентна до лікування депресія: можливості аугментації терапії
-
Фармакотерапія тривожних розладів і нейропротекція: альтернатива бензодіазепінам
-
Лікування пацієнтів підліткового віку із шизофренією: ефективність і безпека антипсихотичної терапії
-
Лікування депресії в пацієнтів з ішемічною хворобою серця або ризиком її розвитку
-
Профілактична фармакотерапія епізодичного мігренозного головного болю в амбулаторних умовах
-
Стратегії зниження дозування бензодіазепінів: коли ризики переважають користь
Зміст випуску 1, 2025
-
Когнітивні порушення судинного генезу: діагностування, профілактика та лікування
-
Лікування ажитації за деменції, спричиненої хворобою Альцгеймера
-
Постінсультні нейропсихіатричні ускладнення: типи, патогенез і терапевтичні втручання
-
Перспективи застосування препаратів на основі рослинних компонентів для лікування депресії
-
Застосування диклофенаку за неврологічних станів: перевірена ефективність і пошук нових підходів
-
Постінсультний емоціоналізм: патофізіологія, поширеність та лікування
Зміст випуску 2 (157), 2025
-
Деякі питання запровадження оцінювання повсякденного функціонування особи
-
Важливість співвідношення «доза-ефект» при застосуванні нестероїдних протизапальних препаратів
-
Медикаментозний паркінсонізм: причини, наслідки та шляхи уникнення
-
Фармакотерапія пацієнтів із шизофренією: важливість поліпшення рівня соціальної залученості
Зміст випуску 1 (156), 2025
-
Підтримка психічного здоров’я на первинній ланці надання медичної допомоги
-
Лікування депресії в літніх пацієнтів: вплив на патофізіологію розладу, ефективність та безпека
-
Нестероїдні протизапальні препарати: багаторічний досвід та особливості застосування
-
Фармакотерапія великого депресивного розладу: пошук антидепресантів з оптимальною ефективністю
Випуски поточного року
Зміст випуску 2 (167), 2026
-
Нові підходи, сміливі ідеї та найактуальніші теми у сфері неврології: дебати
-
Нейробореліоз: коли інфекція маскується під неврологічне захворювання
-
Хвороба Вільсона: від неспецифічних скарг до встановлення діагнозу
-
Призначення антипсихотичних препаратів для лікування психічних розладів
-
Підходи до лікування посттравматичного стресового розладу у військових
-
Аспекти реабілітації після інсульту для оптимального функціонального відновлення пацієнтів
Зміст випуску 1 (166), 2026
-
Психіатрична допомога в Україні у 2025 році: що реально змінилося для лікаря і пацієнта
-
Дулоксетин: лікування депресивних і тривожних розладів та хронічного болю
-
Нові підходи, сміливі ідеї та найактуальніші теми у сфері неврології
-
Нейробіологічні чинники формування терапевтичної дії плацебо та ноцебо у клінічній практиці
Розсилка
Будьте в курсі останніх оновлень – підпишіться на розсилку матеріалів на Ваш e-mail
Підписатися/images/nn257-1622023r6_.jpg)
/images/nn257-1622023r7_.jpg)
/images/nn257-1622023r8_.jpg)
/images/nn257-1622023r9_.jpg)