Рассылка
Будьте в курсе последних обновлений – подпишитесь на рассылку материалов на Ваш e-mail
Подписаться-
Нові підходи, сміливі ідеї та найактуальніші теми у сфері неврології: дебати
-
Нейробореліоз: коли інфекція маскується під неврологічне захворювання
-
Хвороба Вільсона: від неспецифічних скарг до встановлення діагнозу
-
Призначення антипсихотичних препаратів для лікування психічних розладів
-
Підходи до лікування посттравматичного стресового розладу у військових
-
Аспекти реабілітації після інсульту для оптимального функціонального відновлення пацієнтів
Хвороба Вільсона: від неспецифічних скарг до встановлення діагнозу
Зміст статті:
- Клінічна картина й лікування
- Ознаки гепатоцеребральної дегенерації за даними магнітно-резонансної томографії
- Клінічний випадок
- Висновок
Хвороба Вільсона (гепато-лентикулярна дегенерація, гепатоцеребральна дистрофія) — це спадкове захворювання з автосомно-рецесивним типом успадкування, яке характеризується порушенням обміну міді [1]. Його спричиняє мутація у гені протеїну АТР7В (АТФ-ази Р-типу, що транспортує іони міді), розташованому на довгому плечі 13-ї хромосоми (13q14.3). Вона призводить до порушення транспорту катіонів міді та її накопичення у внутрішніх органах, переважно в головному мозку, печінці, рогівці ока, селезінці та нирках [2]. Проте ключовими ознаками хвороби є ураження головного мозку й печінки, що варіюють за ступенем тяжкості у різних пацієнтів.
Захворювання виникає із частотою 1 випадок на 30 тис. осіб [3]. Хвороба названа на честь британського невролога Самюеля Александра Кінніера Вільсона, яку він описав 1912 р. [4].
Клінічна картина й лікування
вгоруЗахворювання характеризується ураженням головного мозку, переважно базальних ядер та стовбура, що проявляється відповідними неврологічними розладами. Основними з них є орофаціальні гіперкінези, дизартрія, постурально-інтенційний тремор кінцівок, гіпертонус м’язів тулуба та кінцівок за пластичним типом, м’язова дистонія, хореоатетоїдний гіперкінез. Часто трапляються психічні порушення за типом лабільності настрою, афективних розладів, депресивного синдрому, астенії, порушень сну. В міру прогресування хвороби виникають порушення когнітивних функцій. У переважної більшості пацієнтів наявні ураження печінки, від початкових змін до цирозу.
Патогномонічною ознакою захворювання є бурий обідок по периферії рогівки — відкладення міді на внутрішній обмежувальній мембрані з формуванням так званих кілець Кайзера–Флейшера. Ця ознака зустрічається не у всіх пацієнтів (наявна у ~ 66 %), що не має виключати встановлення діагнозу [5].
Клінічні прояви хвороби Вільсона частіше починаються в дитячому чи молодому віці (4-40 років) [6]. Діагностика являє собою досить складне завдання для лікаря через широкий діапазон клінічних симптомів, які не є патогномонічними. При цьому своєчасно поставлений діагноз є вирішальним для пацієнта, оскільки без лікування в переважній більшості випадків патологія призводить до смерті внаслідок прогресування печінкової недостатності та ураження нервової системи.
Терапія полягає у своєчасному призначенні D-пеніциламіну, що зв’язує надлишок міді в організмі, сприяючи її виведенню. Зокрема, важливо дотримуватися дієти із виключенням продуктів, багатих на мідь (як-от шоколад, горіхи, сухофрукти, бобові та морепродукти) [7]. Використовуються також препарати цинку, які зменшують всмоктування іонів міді з кишківника і є допоміжними засобами в лікуванні. Слід пам’ятати, що наявність екстрапірамідних симптомів та гіперкінезів в дитячому чи молодому віці завжди потребує виключення хвороби Вільсона. Ураження печінки із формуванням цирозу в молодому віці за відсутності автоімунного гепатиту, вірусних гепатитів В і С, токсичних уражень печінки екзогенного походження також може свідчити про хворобу Вільсона.
Ознаки гепатоцеребральної дегенерації за даними магнітно-резонансної томографії
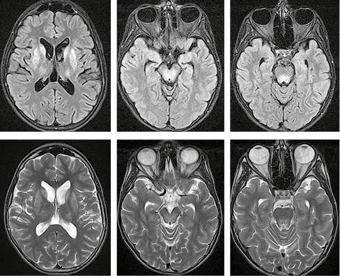
вгоруОсновними ознаками гепатоцеребральної дегенерації, які дозволяє виявити дослідження головного мозку за методом магнітно-резонансної томографії (МРТ), є зміни в базальних ядрах та стовбурі. Головні з них — це підвищення МР-сигналу за режимів Т2 та Т2/Flair від головок хвостатих ядер, блідих куль, лушпин та таламусів (рис. 1).
/images/nn262-1672123r1_.jpg)
У режимі Т2 візуалізується підвищення МР-сигналу від покришки середнього мозку, на тлі якого спостерігаються чіткі контури червоних ядер і чорної субстанції, створюючи характерний вигляд «голови панди» (ознака «великої панди», рис. 2А). У тому ж режимі на межі середнього мозку та моста, на рівні верхніх мозочкових ніжок візуалізується підвищення сигналу від дорзальних відділів середнього мозку, що створює характерний вигляд «голови малої панди» (ознака «малої панди», рис. 2Б).
/images/nn262-1672123r2_.jpg)
Клінічний випадок
вгоруАнамнез захворювання та скарги
Пацієнт віком 20 років звернувся зі скаргами на тремор пальців, порушення мовлення та сну, виразну загальну слабкість, головний біль. Вважає себе хворим близько року, симптоми пов’язує зі стресом та розумовим навантаженням. Зі слів пацієнта, першими симптомами були утруднення засинання, часті епізоди головного болю, тремор пальців, який посилюється при тривалому писанні та роботі за комп’ютером. Тремор спричиняв суттєвий дискомфорт при вживанні їжі. Через кілька місяців виникло порушення мовлення — відчуття «заплітання язика». Шкідливі звички, вживання психотропних речовин заперечує.
До невролога пацієнт не звертався, очікуючи самостійного зникнення симптомів. Протягом року прояви поступово прогресували, що й стало підставою для звернення до лікаря. Чоловік ріс і розвивався нормально, спадкові захворювання в родині заперечує, профілактичні огляди проходить нерегулярно.
Соматичний статус
Тип тілобудови пацієнта — астенічний. Шкіра та видимі слизові оболонки звичайного кольору, на шкірі передпліч наявні дрібні одиничні телеангіектазії. Язик вологий, обкладений незначною кількістю нальоту. Щитоподібна залоза нормальних розмірів, при пальпації безболісна. Тони серця ясні, ритмічні, частота серцевих скорочень — 78 уд./хв, серцевих шумів немає. Артеріальний тиск — 120/75 мм рт. ст. Дихання везикулярне, додаткових дихальних шумів не відзначається, частота дихання — 18 дх/хв, сатурація киснем — 99 %. Живіт м’який, безболісний, печінка виступає з-під краю реберної дуги на 1,5-2см. Селезінка не пальпується. Перитонеальні симптоми негативні. При пальпації проєкції нирок больових відчуттів немає, симптом Пастернацького негативний. Суглоби кінцівок звичайної конфігурації, при пальпації безболісні.
Неврологічний статус
Свідомість ясна, показник за шкалою Глазго — 15 балів. Очні щілини симетричні (D = S), зіниці округлі, симетричні (D = S), пряма та співдружня реакція зіниць на світло збережена з обох боків. Реакція на акомодацію та конвергенцію збережена з обох боків. Рухи очей збережені в повному обсязі. Наявне сповільнення горизонтальних сакад. Чутливість обличчя не порушена, корнеальний рефлекс збережений з обох боків. Візуалізується постуральний тремор підборіддя при утриманні відкритого рота. Обличчя відносно симетричне, рухи мімічних м’язів збережені. Є мимовільні скорочення мімічних м’язів обличчя з обох боків за типом міоклоній. Ковтання не порушене, помірна дизартрія, тремор м’якого піднебіння. Піднебінний рефлекс збережений з обох боків. Язик розташований по серединній лінії; девіації, атрофії та фасцикуляції язика не спостерігається.
Рефлекс Марінеску–Радовічі позитивний з обох боків, хоботковий рефлекс відсутній. Активні рухи в кінцівках збережені, сила м’язів у верхніх та нижніх кінцівках в межах норми (5 балів). Тонус м’язів кінцівок помірно підвищений за пластичним типом, переважно у верхніх кінцівках. Пробана приховану ригідність м’язів кінцівок викликає підвищення тонусу в обстежуваній кінцівці. При утриманні рук у горизонтальному положенні візуалізується постуральний тремор пальців обох кистей, який посилюється при виконанні цілеспрямованих рухів (інтенційний тремор). Сухожильні та періостальні рефлекси підвищені в усіх кінцівках, відносно симетричні (D = S), патологічні кистеві та стопні рефлекси відсутні. Черевні рефлекси знижені з обох боків, відносно симетричні (D = S). Поверхнева та глибока чутливість тулуба й кінцівок не порушена. У позі Ромберга пацієнт стійкий. При виконанні пальценосової проби наявний постуральний та інтенційний тремор із середнім розмахом. При виконанні колінно-п’яткової проби наявний інтенційний тремор обох нижніх кінцівок. Менінгеальні знаки негативні.
Результати МРТ-дослідження головного мозку
При виконання МРТ-дослідження головного мозку пацієнта виявлено типові ознаки хвороби Вільсона у вигляді підвищення МР-сигналу від головок хвостатих ядер, лушпин, блідих куль та таламусів в режимах Т2/Flair і Т2. Також наявне підвищення сигналу від покришки середнього мозку й дорзальних відділів моста (рис. 3).
/images/nn262-1672123r3_.jpg)
Офтальмологічний огляд
При огляді пацієнта на щілинній лампі з обох боків спостерігаються кільця Кайзера–Флейшера у вигляді бурих смуг вздовж лімбу рогівки (рис. 4). Слід зазначити, що вони спочатку формуються як незамкнені півкільця, починаючи із 12 та 6 год умовного циферблату, й надалі замикаються у повні кільця. Цей факт теж варто враховувати для уникнення діагностичних помилок.
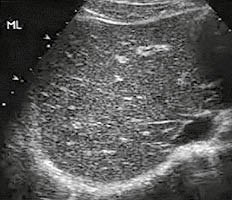
УЗД органів черевної порожнини
Візуалізується помірне збільшення печінки, краніокаудальний розмір правої частки становить 162 мм (в нормі — 140-150 мм), краніокаудальний розмір лівої частки — 106 мм (в нормі — 80-100 мм). Передній край помірно заокруглений. Ехоструктура органа помірно неоднорідна внаслідок дрібних дифузно розташованих гіперехогенних включень. Наявна гіперехогенність стінок дистальних гілок ворітної вени (рис. 5).
Лабораторні дослідження
У чоловіка виявлено зниження рівня церулоплазміну в крові до 15 мг/дл (в нормі — 20-60 мг/дл) та підвищення екскреції міді з сечею до 150 мкг/добу (в нормі — 25-50 мкг/добу), що є типовою ознакою хвороби Вільсона. Крім того, у пацієнта виміряли вміст загальної та вільної міді в сироватці крові. Виявлено типові зміни у вигляді зниження рівня загальної сироваткової міді до 60 мкг/дл (в нормі — 80-155 мкг/дл) та підвищення рівня вільної міді до 15 мкг/дл (в нормі < 10 мкг/дл). Концентрація загального білірубіну становила 18 мкмоль/л, непрямого білірубіну — 4,5 мкмоль/л, аланінамінотрансферази (АЛТ) — 47 ОД/л, аспартатамінотрансферази (АСТ) — 50 ОД/л, лужної фосфатази — 38 ОД/л. Рівні гормонів щитоподібної залози та показники загального аналізу крові та сечі — без суттєвих змін.
Висновок
вгоруУ пацієнта відзначалися скарги й симптоми, які можуть бути неспецифічними та характерними для багатьох захворювань, наприклад гіпертиреозу, тривожного розладу, різноманітних психосоматичних порушень. Це суттєво утруднює діагностику хвороби Вільсона, яка без терапії є потенційно смертельною патологією. За своєчасного призначення специфічного лікування можливо не тільки врятувати життя пацієнта, але й відновити нормальний рівень якості життя. Тому якнайшвидше діагностування цього захворювання є вирішальним.
При ретельному обстеженні пацієнта виявлені досить специфічні ознаки ураження екстрапірамідної системи, що в молодому віці завжди має навести на думку про хворобу Вільсона. Основні неврологічні симптоми:
- сповільнення мимовільних горизонтальних сакад очних яблук;
- орофаціальні гіперкінези (тремор підборіддя та піднебіння, лицеві міоклонії);
- дизартрія;
- постурально-інтенційний тремор верхніх і нижніх кінцівок;
- гіпертонус м’язів кінцівок за пластичним типом.
Дані ознаки є типовими для ураження екстрапірамідної системи (базальних ядер) та стовбура головного мозку.
Окрім того, у чоловіка відзначалися ознаки мінімального ураження пірамідної системи у вигляді двобічного підвищення сухожильних та періостальних рефлексів і рефлексу Марінеску–Радовічі з обох боків. Достовірних ознак ураження мозочка та сенсорних розладів не виявлено, що є теж типовим для даної хвороби. Психічні розлади не є специфічними, але вони наявні у більшості пацієнтів. Частіше це лабільність настрою, астенічний синдром, депресивний розлад, порушення сну, в міру прогресування можливі когнітивні порушення.
Також у пацієнта виявлені помірні зміни паренхіми печінки, що є типовим для переважної більшості осіб із хворобою Вільсона. Характерною ознакою гепатоцеребральної дистрофії є наявність кілець Кайзера–Флейшера. Дана ознака може бути не у всіх пацієнтів, що не виключає наявності захворювання.
Важливу роль у діагностуванні хвороби Вільсона відіграють дані МРТ головного мозку, які демонструють типові зміни. Однак ключовими діагностичними маркерами є підвищення добової екскреції міді з сечею, збільшення вмісту вільної міді в сироватці крові та зниження рівня загальної сироваткової міді й церулоплазміну в крові. Слід зауважити, що лабораторні показники печінкових проб можуть бути на межі референсних значень навіть за наявності структурних змін паренхіми печінки, виявлених при ультразвуковому дослідженні, що свідчить про повільне ураження органа. Саме це спостерігається у даного пацієнта. Характерною і важливою ознакою є зниження рівня лужної фосфатази на тлі нормальних чи помірно підвищених рівнів АЛТ та АСТ. Уміст білірубіну часто буває в межах норми.
Остаточний діагноз хвороби Вільсона підтверджує генетичне дослідження, яке було проведене після попереднього детального обстеження (виявлено мутацію в гені ATP7B, тип мутації p.H1069Q).
Література
1. Dähnert W. Radiology Review Manual // LWW, 2017. ISBN: 9781496360694.
2. Roberts E., Schilsky M. Diagnosis and Treatment of Wilson Disease: An Update // Hepatology. – 2008. – 47 (6). – Р. 2089-2111; doi:10.1002/hep.22261.
3. Patil M., Sheth K., Krishnamurthy A., Devarbhavi H. A Review and Current Perspective on Wilson Disease // J Clin Exp Hepatol. – 2013. – 3 (4). – Р. 321-336; doi:10.1016/j.jceh.2013.06.002.
4. Wilson S., Kinnier A. Progressive Lenticular Degeneration: A Familial Nervous Disease Associated with Cirrhosis of the Liver // Brain. – 1912. – 34 (4). – Р. 295-507.
5. Hegde A., Mohan S., Lath N., Lim C. Differential Diagnosis for Bilateral Abnormalities of the Basal Ganglia and Thalamus // Radiographics. – 2011. – 31 (1). – Р. 5-30; doi:10.1148/rg.311105041.
6. Lorincz M. Neurologic Wilson’s Disease // Ann NY Acad Sci. – 2010. – 1184 (1). – Р. 173-187; doi:10.1111/j.1749-6632.2009.05109.x.
7. Wilson’s disease. The Lancet; www.thelancet.com. Архів оригіналу за 31 січня 2010. Процитовано 11 січня 2016.
Наш журнал
в соцсетях:
Мнения экспертов
Выпуски текущего года
Содержание выпуска 2 (167), 2026
-
Нові підходи, сміливі ідеї та найактуальніші теми у сфері неврології: дебати
-
Нейробореліоз: коли інфекція маскується під неврологічне захворювання
-
Хвороба Вільсона: від неспецифічних скарг до встановлення діагнозу
-
Призначення антипсихотичних препаратів для лікування психічних розладів
-
Підходи до лікування посттравматичного стресового розладу у військових
-
Аспекти реабілітації після інсульту для оптимального функціонального відновлення пацієнтів
Рассылка
Будьте в курсе последних обновлений – подпишитесь на рассылку материалов на Ваш e-mail
Подписаться/images/nn262-1672123r4_.jpg)
/images/nn262-1672123r5_.jpg)